Translate this page into:
Subungual exostosis: An uncommon neoplasm
*Corresponding author: Anupam Das, Department of Dermatology, KPC Medical College and Hospital, Kolkata, West Bengal, India. anupamdasdr@gmail.com
-
Received: ,
Accepted: ,
How to cite this article: Dutta B, Das A. Subungual exostosis: An uncommon neoplasm. J Onychol Nail Surg. 2025;2:127-8. doi: 10.25259/JONS_13_2025
Dear Editor,
Subungual exostosis is a relatively uncommon benign osseocartilaginous tumour, which usually occurs on the great toe of young adults. The lesion can be initially asymptomatic, but may gradually cause pain, erythema and deformity of the nail bed. The exact pathogenesis remains unclear, but most of the theories consider it to be due to reactive metaplasia from microtrauma.[1] We herein report a case of subungual exostosis, which is relatively in dermatology practice and often misdiagnosed. The atypical location of the tumour in our patient adds to the uniqueness of the case.
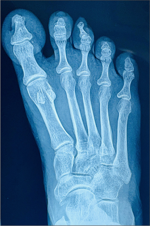
A 47-year-old woman presented with an asymptomatic thickened growth projecting beneath the nail plate of the left middle toe for the past 3 years. The lesion initially started as a small, thickened nodule beneath the nail plate, which gradually progressed in size. She had no other complaints and no similar symptoms in her family members. Cutaneous examination revealed a well-defined, hard, fixed, non-tender nodule with an irregular hyperkeratotic surface on the tip of the left middle toe [Figure 1]. Based on the clinical findings, we thought of verruca vulgaris, subungual exostosis, fibroma, acquired digital fibrokeratoma, osteochondroma, enchondroma, or nail bed tumour as differential diagnoses. Radiographic imaging of an anteroposterior view of the left foot revealed a small exophytic bony lesion arising from the tuft of the middle toe, showing no obvious continuity with the medulla of the phalanx. This was suggestive of a subungual exostosis. Besides, there was sclerosis of the phalangeal shaft. No associated cortical irregularity, periosteal reaction or soft-tissue component was seen [Figure 2]. Based on these findings, a diagnosis of subungual exostosis was made. The patient was referred to an orthopaedic surgeon for excision of the lesion.

- A small bony protuberance arising from the phalangeal tuft of mid toe.

- An anteroposterior view of the left foot shows a small exophytic bony lesion is seen arising from the tuft of middle toe showing no obvious continuity with medulla of phalanx- subungual exostosis. There is sclerosis of this phalangeal shaft. No associated cortical irregularity, periosteal reaction or soft tissue component is seen.
Subungual growths are not uncommon in clinical practice, as patients often seek advice due to discomfort or a fear of a malignant aetiology, especially malignant melanoma. Subungual exostosis is a benign, slow-growing osteochondral outgrowth that usually involves the great toe. However, it can rarely involve other fingers and toes, as was the case in our instance. If untreated, complications such as onychodystrophy, onycholysis, secondary infection and onychocryptosis can develop.[2] Diagnoses of subungual exostosis can be sometimes confusing, as it mimics other similar conditions such as verruca vulgaris (differentiating features being a verrucous surface, absence of skin markings, black dots and tiny bleeding points while scraping), acquired digital fibrokeratoma (rim like border at the base), fibroma (firm in consistency, radiolucent), enchondroma (radiolucent and expands the involving phalanx), glomus tumour (pink to bluish, soft and extremely tender, aggravated pain on cold exposure) and squamous cell carcinoma (long standing vegetative, exuberant and fleshy growth).[3] The diagnosis of subungual exostosis is supported by a bony consistency on clinical examination, a plain radiograph showing a radio-opaque calcified nodule, and bony trabeculae on histopathological examination. Surgery is the mainstay of treatment, and when treated appropriately, it has favourable functional and cosmetic results, as well as a very low incidence of recurrence.
To conclude, we suggest considering subungual exostosis as a differential diagnosis while encountering a case of subungual growth, even when it is not involving the great toe, as in our case. Furthermore, we recommend that the patient should undergo a plain radiograph while evaluating such cases, as it is a simple, feasible, and cheap method of clinching the diagnosis at the earliest.
Authors’ contributions:
Both the authors have contributed equally towards the drafting and editing of the manuscript
Ethical approval:
Institutional Review Board approval is not required.
Declaration of patient consent:
The authors certify that they have obtained all appropriate patient consent.
Conflicts of interest:
There are no conflicts of interest.
Use of artificial intelligence (AI)-assisted technology for manuscript preparation:
The authors confirm that there was no use of artificial intelligence (AI)-assisted technology for assisting in the writing or editing of the manuscript, and no images were manipulated using AI.
Financial support and sponsorship: Nil.
References
- Rearrangement of the COL12A1 and COL4A5 genes in subungual exostosis: Molecular cytogenetic delineation of the tumor-specific translocation t(X;6) (q13-14q22) Int J Cancer. 2006;118:1972-76.
- [CrossRef] [PubMed] [Google Scholar]
- Subungual exostosis and chronic onychocryptosis: An intricate relationship-clinical review and management. Foot Ankle Surg Tech Rep Cases. 2024;4:100414.
- [CrossRef] [Google Scholar]